3

دكتور أحمد عبدالله بدر

دكتور أحمد عبدالله بدر ماجستير زراعة وتجميل الأسنان جامعة القاهرة (القصر العينى)

دكتور اسنان متخصص في اسنان بالغين، تجميل اسنان، حشو وعلاج الجذور والاعصاب، علاج اللثة، زراعة اسنان، اسنان اطفال، جراحة وجه وفكين، تقويم اسنان، تركيبات اسنان، اسنان مسنين و اشعة الاسنان

مركز بدر لعلاج وتجميل وزراعة وتقويم الأسنان

مركز بدر لعلاج وتجميل وزراعة وتقويم الأسنان اكثر من ٣٠ استشارى واخصائى فى مجال طب وجراحة وتقويم وزراعة الأسنان[فريق طبى متكامل] -متخصصين فى التركيبات الثابتة والمتحركة /علاج اسنان الاطفال /جراحة الأسنان وتأهيل كامل للفك/علاج الجذور بأحدث الاجهزه /متخصص في الحشوات الحديثه المصنعة بأحدث التقنيات العالميه و تركيبات الاسنان الثابتة الحديثة فى توقيت مناسب /جراحة الفك والاسنان (ضروس العقل )/زراعه الفك كامل/الزراعه الفورية غرف خاصه للاجهزه التعقيم. -علاج اسنان فى جلسة واحدة تحت تخدير كلى -متاح تقسيط

أطباء أسنان معتمدون ملتزمون بالتميز

نحن فريق من 25 طبيب أسنان معتمدًا، متخصصون في تقديم أفضل علاجات الأسنان في المدينة. بخبرة تزيد عن 35 عامًا، نتقن مهارات تقديم أفضل الحلول باستخدام أحدث التقنيات.

أفضل خدمات دكتور اسنان في مصر

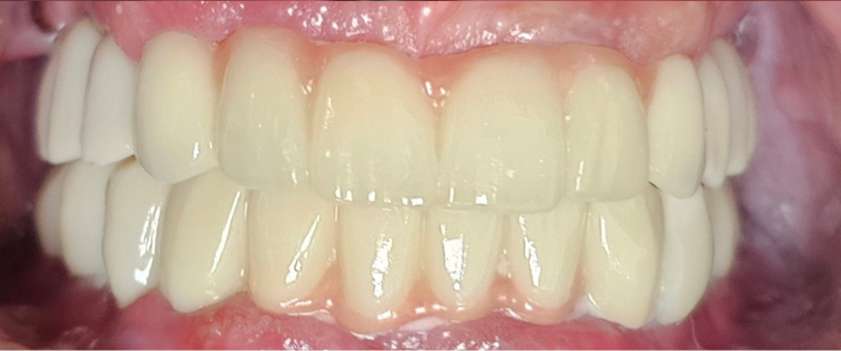
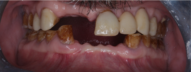
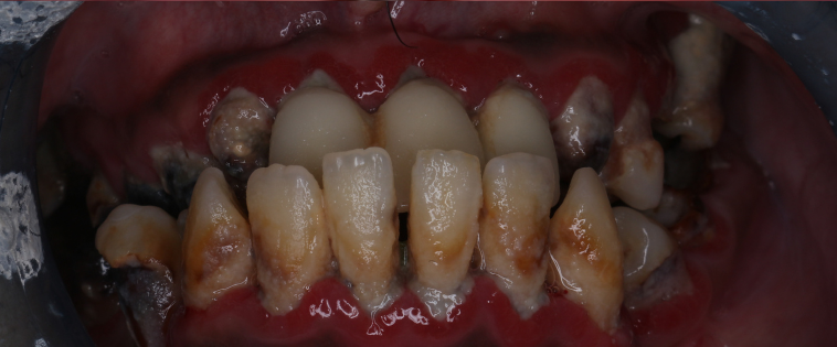
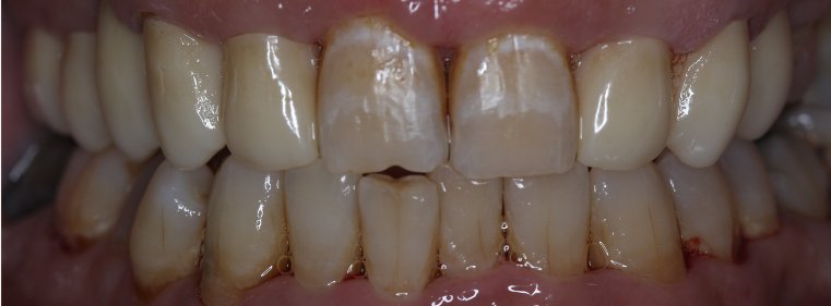
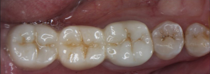
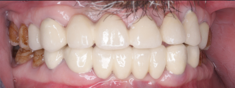
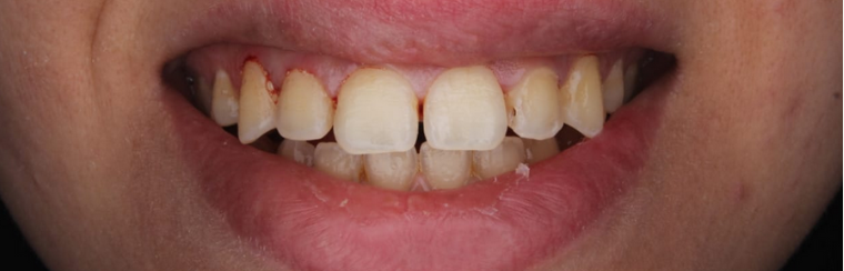
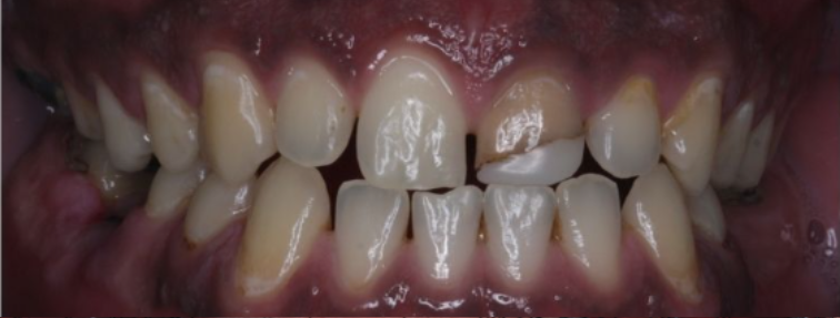
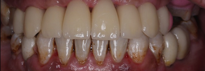
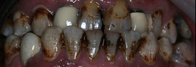
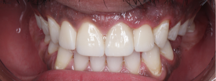
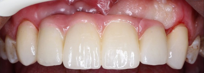
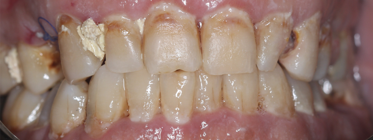
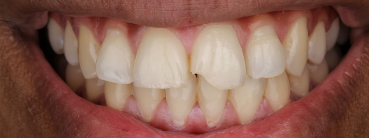
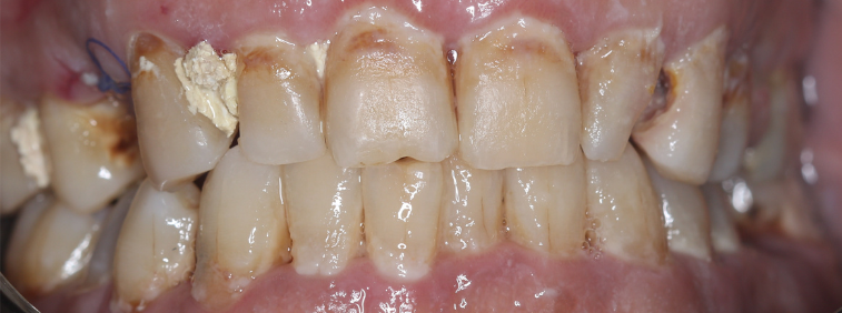
Before imageAfter image
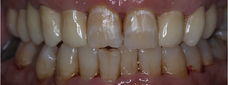
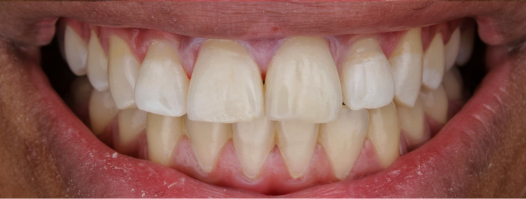
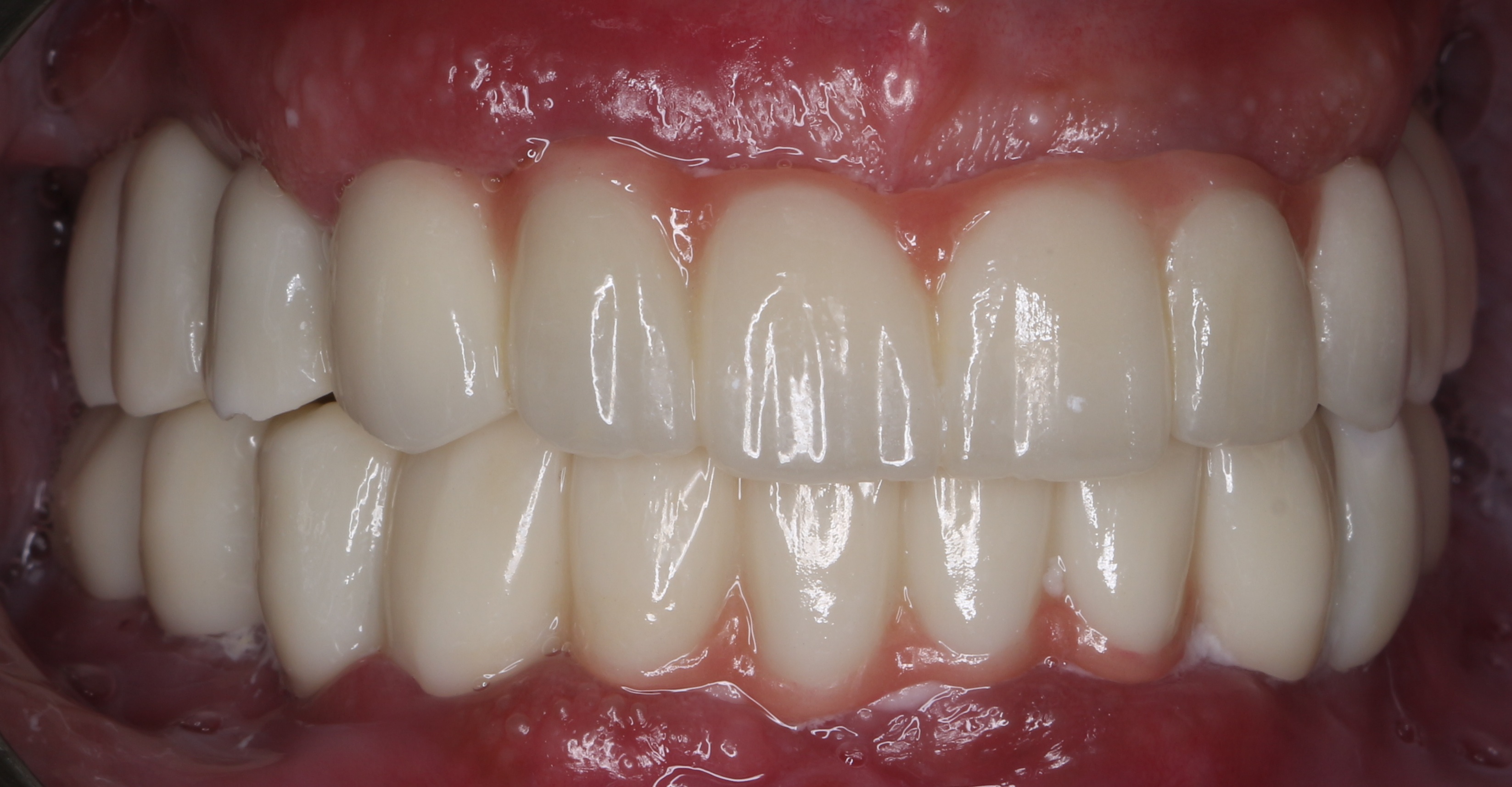
Before imageAfter image
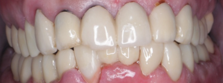
Before imageAfter image
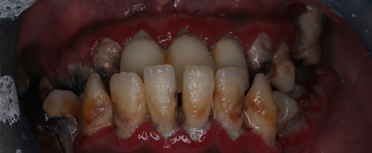
Before imageAfter image
Before imageAfter image
Before imageAfter image
Before imageAfter image
Before imageAfter image
Before imageAfter image
Before imageAfter image
Before imageAfter image
Before imageAfter image
Before imageAfter image
Before imageAfter image
Before imageAfter image
Before imageAfter image
Before imageAfter image
Before imageAfter image
Before imageAfter image
Before imageAfter image
Before imageAfter image

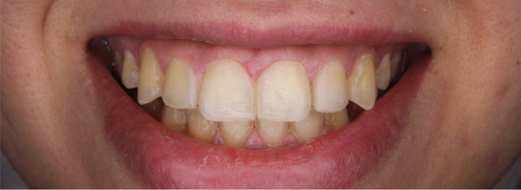
عملائنا

نقدم حلولًا فورية كـ دكتور اسنان في مصر مع ضمان 5 سنوات على جميع عمليات الزراعة والتجميل.



    معلومات الحجز





    بيانات المريض





    التحقق الآمن

    لضمان تجربة آمنة، يرجى إكمال التحقق من أنك لست روبوت

    ملاحظة هامة: بعد الضغط على الزر، سيتم فتح تطبيق واتساب تلقائيًا لإرسال طلبك

    تأكد من وجود واتساب مثبت على جهازك

    Accordion Tab Title 1
    Lorem ipsum dolor sit amet, consectetur adipisicing elit. Optio, neque qui velit. Magni dolorum quidem ipsam eligendi, totam, facilis laudantium cum accusamus ullam voluptatibus commodi numquam, error, est. Ea, consequatur.
    Accordion Tab Title 2
    Lorem ipsum dolor sit amet, consectetur adipisicing elit. Optio, neque qui velit. Magni dolorum quidem ipsam eligendi, totam, facilis laudantium cum accusamus ullam voluptatibus commodi numquam, error, est. Ea, consequatur.
    Accordion Tab Title 3
    Lorem ipsum dolor sit amet, consectetur adipisicing elit. Optio, neque qui velit. Magni dolorum quidem ipsam eligendi, totam, facilis laudantium cum accusamus ullam voluptatibus commodi numquam, error, est. Ea, consequatur.